Τι είναι ακριβώς η άνοια; Είναι το ίδιο πράγμα με τη νόσο Alzheimer;
H νόσος Alzheimer είναι η πιο συχνή μορφή άνοιας. Πολλοί έχουν ταυτίσει το Alzheimer με τον όρο άνοια, πράγμα που δεν ισχύει γιατί υπάρχουν κι άλλες μορφές άνοιας , όπως η αγγειακή ή αυτή του Πάρκινσον.
Η άνοια είναι ένα σύνδρομο που χαρακτηρίζεται από σταδιακή επιδείνωση νοητικών λειτουργιών, όπως η μνήμη, η κρίση, ο λόγος και η συμπεριφορά, σε βαθμό που επηρεάζει την ικανότητα του ατόμου να επιτελεί αυτόνομα τις καθημερινές του δραστηριότητες.
Είναι η νόσος Alzheimer κληρονομήσιμη;
Πολλοί έχουν αυτό το ερώτημα, ιδιαίτερα αν υπάρχει στην οικογένεια μέλος που πάσχει. Μόνο 1% περίπου όλων των περιπτώσεων έχει κληρονομική μετάδοση, με πρόωρη κατά κανόνα έναρξη της νόσου μεταξύ 30 – 65 ετών. Στην πλειοψηφία των περιπτώσεων η ηλικία παίζει τον σημαντικότερο ρόλο με έναρξη των συμπτωμάτων τουλάχιστον από τα 65 έτη.
Πότε ανησυχούμε και πρέπει να αναζητήσουμε γιατρό;
Όταν ένα άτομο νιώσει ότι η μνήμη ή οι υπόλοιπες λειτουργίες του “δεν είναι όπως παλιά” ή όταν οι οικείοι του παρατηρήσουν αλλαγές στη συμπεριφορά και τη λειτουργικότητά του καθημερινά, είναι απαραίτητη η επίσκεψη σε νευρολόγο. Αυτός θα αξιολογήσει την κατάσταση, θα συστήσει διαγνωστικό έλεγχο και την κατάλληλη θεραπεία.
Ποια είναι τα συμπτώματα της νόσου Alzheimer;
Α. Προ στάδιο Άνοιας: Ελαφρά διαταραχή συγκέντρωσης και δυσκολία στην επιτέλεση περίπλοκων προβλημάτων της καθημερινότητας , που παλιά ήταν εφικτή.
Β. Αρχικά συμπτώματα: Η νόσος ξεκινάει αργά σταδιακά και εξελίσσεται μέσα 5-8 χρόνια μέχρι την τελική κατάληξη. Τα πρώτα συμπτώματα δεν είναι χαρακτηριστικά:
- Διαταραχή ικανότητας συγκέντρωσης και μείωση της ταχύτητας επεξεργασίας των πληροφοριών στον εγκέφαλο
- Αλλαγή συμπεριφοράς, κυρίως εσωστρέφεια, μελαγχολία και έλλειψη ενδιαφέροντος για δραστηριότητες που συνήθιζε παλιά το άτομο.
Γ. Συμπτώματα στην πορεία της νόσου:
- Μειωμένη ικανότητα συγκράτησης στη μνήμη νέων πληροφοριών: Το περιβάλλον αναφέρει ότι συχνά ο ασθενής θυμάται τα παλιά, ενώ ξεχνά ραντεβού, επαναλαμβάνει ερωτήσεις, χάνει τα πράγματά του.
- Δυσκολία προσανατολισμού στον χώρο και στον χρόνο: Ο ασθενής χάνεται σε διαδρομές που κανονικά του ήταν γνωστές, δε γνωρίζει τη μέρα, την εποχή ή το έτος
- Διαταραχές του λόγου: Ο ασθενής δυσκολεύεται να βρει την επόμενη λέξη ή να κατονομάσει αντικείμενα και κάνει λάθη και στο γραπτό λόγο.
- Δυσκολίες εκτέλεσης σύνθετων δραστηριοτήτων, σχεδιασμού, λήψης αποφάσεων και περιορισμένη κριτική ικανότητα.
Δ. Σε προχωρημένο στάδιο έχουμε επιπλέον:
- Σωματικά προβλήματα που απαιτούν καθημερινή φροντίδα: ακράτεια, περιορισμένη κινητικότητα
- Προβλήματα συμπεριφοράς : Το άτομο δεν αναγνωρίζει ακόμα και τους οικείους του, έχει χαθεί η επικοινωνία και μπορεί να εμφανίσει κατάθλιψη, ανησυχία, διαταραχές ύπνου, εμμονές, καχυποψία, ψευδαισθήσεις έως και κοινωνικά ανάρμοστη και επιθετική συμπεριφορά.


Πώς γίνεται η διάγνωση της νόσου Alzheimer;
- Το αναμνηστικό ιστορικό, όχι μόνο από τον ασθενή, αλλά και από το περιβάλλον. Εδώ δίνουμε βάση και σε τυχόν υπάρχουσες διαταραχές συμπεριφοράς.
- Λεπτομερής νευρολογική εξέταση με νευροψυχολογικό έλεγχο. Πρόκειται για ειδικά τεστ ερωτήσεων ή ασκήσεις, που μας επιτρέπουν να αξιολογήσουμε τις νοητικές λειτουργίες του ασθενούς.

- Εργαστηριακός έλεγχος για να αποκλειστούν τυχόν άλλες αιτίες απώλειας μνήμης, όπως για παράδειγμα η έλλειψη βιταμίνης Β12.
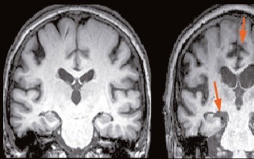
- Ο απεικονιστικός έλεγχος, όπως η μαγνητική τομογραφία εγκεφάλου, μπορεί να δείξει χαρακτηριστικά ευρήματα και επίσης μπορούμε να αποκλείσουμε άλλες αιτίες για παράδειγμα έναν όγκο.

- Οσφυονωτιαία παρακέντηση γίνεται όταν με όλα τα παραπάνω δεν έχουμε σαφή διάγνωση.
Υπάρχει θεραπεία για τη νόσο Alzheimer;
- Παρά τις έρευνες που γίνονται τα τελευταία χρόνια, δεν έχει βρεθεί ως τώρα φάρμακο που να διορθώνει το αίτιο της νόσου και να σταματά την περαιτέρω εξέλιξη. Υπάρχουν όμως φάρμακα είτε σε χάπι είτε με τη μορφή έμπλαστρου, που επιβραδύνουν την εξέλιξη της νόσου.
- Έως και 70% των ασθενών με Alzheimer εμφανίζουν στην πορεία κατάθλιψη και άλλες ψυχικές διαταραχές, όπως υπερκινητικότητα, αυπνίες, ψευδαισθήσεις, επιθετικότητα. Εδώ απαιτείται ψυχιατρική φαρμακευτική αγωγή (αντικαταθλιπτικά, ηρεμιστικά, υπνωτικά) σε μικρές δοσολογίες και επιπλέον σφαιρική αντιμετώπιση, όπως θα αναφέρουμε παρακάτω.
Είναι αρκετή η φαρμακευτική αγωγή για τη θεραπεία;
Εξαιτίας της συνεχούς εξέλιξης της νόσου, οι μη φαρμακευτικές παρεμβάσεις είναι πρωτεύουσας σημασίας ακόμα κι από τα αρχικά στάδια.
- Η φυσιοθεραπεία και γενικότερα η σωματική άσκηση
- Η κοινωνική δραστηριοποίηση, όπως η συμμετοχή σε ομάδες ηλικιωμένων με δραστηριότητες, όπως χορωδία, εκδρομές ή απλά συζήτηση. Έτσι το άτομο νιώθει ακόμα ενεργό κομμάτι της κοινωνίας.

- Εργοθεραπεία, όπου το άτομο εξασκείται σε δεξιότητες της καθημερινής ζωής, που έχει χάσει.
- Μουσικοθεραπεία. Σε όλα τα στάδια έχει βρεθεί ότι η μουσική ξυπνά θετικές αναμνήσεις και συναισθήματα.
Υπάρχει τρόπος να προληφθεί η άνοια;
Έχει βρεθεί ότι ο υγιεινός τρόπος ζωής από τη νεαρή ακόμα ηλικία μειώνει σημαντικά τις πιθανότητες να νοσήσει κάποιος. Η ισορροπημένη διατροφή, η άσκηση και η διατήρηση φυσιολογικού βάρους θα πρέπει να είναι στόχος. Η συχνή κατανάλωση τροφών πλούσιων σε ωμέγα 3 λιπαρά οξέα (ψάρια), φρούτων και λαχανικών μειώνουν τις πιθανότητες νόσησης από Alzheimer. Επίσης η σωστή ρύθμιση σακχάρου και αρτηριακής πίεσης, καθώς και οι ποικίλες κοινωνικές και πνευματικές δραστηριότητες μειώνουν τον κίνδυνο εμφάνισης της άνοιας σε μεγάλη ηλικία.
Ποιος είναι ο ρόλος της οικογένειας του ασθενούς;
Ο ρόλος της οικογένειας είναι πρωταρχικός. Η άνοια είναι μια χρόνια επιδεινούμενη κατάσταση που οδηγεί συχνά σε διαταραχές συμπεριφοράς, όπως εκνευρισμό, άρνηση συνεργασίας και επιθετικότητα. Αυτό μπορεί να προκαλέσει στο περιβάλλον απογοήτευση ή απόγνωση. Παρόλα αυτά συνίσταται η προσέγγιση του ασθενούς με υπομονή και σεβασμό. Με τη σωστή καθοδήγηση και επικοινωνία των εκάστοτε προβλημάτων (κοινωνικών, συμπεριφοράς) με το νευρολόγο, μπορεί να επιτευχθεί η διατήρηση αξιοπρεπούς ποιότητας ζωής.
Η Σταυρούλα Θωμοπούλου είναι ειδική Νευρολόγος με επιπλέον ειδίκευση στην ψυχιατρική και Ψυχοθεραπεία Γνωσιακής Συμπεριφορικής Κατεύθυνσης στη Γερμανία. Κλείστε ραντεβού για μια σωστή καθοδήγηση και την κατάλληλη θεραπεία.


