
Η πολλαπλή σκλήρυνση σε αριθμούς
Προσβάλλει 2,5 εκ. ανθρώπους, εκ των οποίων το 70% είναι γυναίκες. Στην Ελλάδα η σκλήρυνση κατά πλάκας αφορά το 0,1% του πληθυσμού. Η συνήθης ηλικία εμφάνισης της νόσου είναι μεταξύ 20-40 ετών.
Τι είναι και πώς δημιουργείται η σκλήρυνση κατά πλάκας;
Πρόκειται για μια χρόνια αυτοάνοση φλεγμονώδη νόσο του κεντρικού νευρικού συστήματος. Αυτό σημαίνει ότι φλεγμονώδη και κύτταρα άμυνας του οργανισμού επιτίθενται σε δομές του ίδιου του σώματος. Αυτό οδηγεί σε καταστροφή του περιτυλίγματος (μυελίνης) των νευρικών ινών. Αυτές οι νευρικές ίνες δυσκολεύονται ως και αδυνατούν να μεταδώσουν παρακάτω τα νευρικά ερεθίσματα.

Πώς εμφανίζεται;
Η πολλαπλή σκλήρυνση μπορεί να εμφανίσει οποιοδήποτε νευρολογικό σύμπτωμα ανάλογα με την περιοχή του νευρικού συστήματος που έχει προσβληθεί. Έτσι διαφορετικοί ασθενείς παρουσιάζουν διαφορετικά συμπτώματα και εξέλιξη της νόσου. Για αυτό και η σκλήρυνση κατά πλάκας χαρακτηρίζεται και ως “η νόσος με τα πολλά πρόσωπα“. Στατιστικά η πιο συχνή πρώτη εκδήλωση είναι μουδιάσματα στα χέρια και στα πόδια. Οι διαταραχές στη όραση είναι η δεύτερη συχνότερη αρχική εκδήλωση.
Στην πορεία άλλες εκδηλώσεις εξίσου σημαντικές είναι:
- Αίσθημα κόπωσης
- Κυστικές διαταραχές
- Εντερικά προβλήματα
- Σπαστικότητα με δυσκολία στην κίνηση
- Ψυχικές διαταραχές, κατάθλιψη
Πώς εξελίσσεται η νόσος;
Η κάθε περίπτωση είναι διαφορετική και δεν είναι δυνατό να προβλεφθεί από την αρχή η εξέλιξη. Συνήθως η ασθένεια ξεκινά με τη μορφή ώσεων , δηλαδή επεισόδια που διαρκούν κάποιο διάστημα και στη συνέχεια με ή χωρίς θεραπεία υποχωρούν. Το 40% των ασθενών μετά από μερικά χρόνια περνά σε μια χρόνια φάση, όπου παραμένουν τα συμπτώματα. Σπανιότερα έχουμε από την αρχή τη χρόνια επιδεινούμενη μορφή, όπου η πρόγνωση δεν είναι καλή.


Πώς γίνεται η διάγνωση;
- Αναμνηστικό ιστορικό και κλινική εξέταση
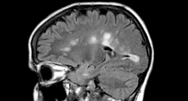
- Απεικονιστικός έλεγχος, κυρίως μαγνητική εγκεφάλου, ενδεχομένως και νωτιαίου μυελού

- Προκλητά δυναμικά όρασης , αισθητικότητας μπορούν να βοηθήσουν
- Η οσφυονωτιαία παρακέντηση θα εξετάσει αν υπάρχουν αντισώματα στο υγρό που κυκλοφορεί μέσα στο νευρικό σύστημα-εγκεφαλονωτιαίο υγρό- και γίνεται σε περιβάλλον νοσοκομείου.
Ποιος είναι ο ρόλος της θεραπείας στη εξέλιξη της νόσου;
Η σκλήρυνση κατά πλάκας είναι μια χρόνια νόσος και μέχρι στιγμής δεν έχει βρεθεί φάρμακο που να οδηγεί στην ίαση. Έτσι η θεραπεία αποσκοπεί στην αναστολή της εξέλιξης της νόσου. Εξαιρετική σημασία έχει η ταχεία διάγνωση και η έγκαιρη έναρξη της αγωγής. Ο νευρολόγος θα επιλέξει το κατάλληλο φάρμακο ανάλογα με το στάδιο της νόσου με τις λιγότερες δυνατές παρενέργειες.
Ποια περαιτέρω φροντίδα είναι απαραίτητη για έναν ασθενή με πολλαπλή σκλήρυνση;
- Στην πορεία της νόσου με επιδείνωση των κινητικών προβλημάτων είναι αναγκαία η φυσιοθεραπεία
- Το σύνδρομο χρόνιας κόπωσης και η κατάθλιψη πρέπει να αντιμετωπίζονται με αντικαταθλιπτικά και ψυχοθεραπεία
- Επιπλοκές στην πορεία , όπως προβλήματα ούρησης, εντερικές διαταραχές χρειάζονται ειδική αντιμετώπιση
- Τα ψυχοκοινωνικά προβλήματα απαιτούν στήριξη από το περιβάλλον, τη σωστή καθοδήγηση από τον ιατρό και την ισχυρή θέληση του ίδιου του ασθενούς με στόχο την καλύτερη ποιότητα ζωής και αυτονομία.
Κλείστε ραντεβού με την ειδική Νευρολόγο Σταυρούλα Θωμοπούλου για ταχεία διάγνωση και την κατάλληλη θεραπεία για εσάς.

